Usted está aquí
Oct-Dec 2024, Volume 6, Issue 4
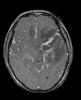
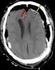
Acute pneumocephalus in neurosurgical patients operated on in supine and prone position
ELDER CASTRO-CASTILLO.
Neurobiological basis of behavior. Is it possible to change a human being?
JASON W. RIVEROS-RUIZ
Combined half and half pretemporal and subtemporal approach for petrous apex meningiomas with projection to the infratemporal fossa and petroclival region: surgical technique and outcome
LIZERT AQUINO-FABIÁN, ALLEN DIAZ I.
Postoperative recurrence of intramedullary intraspinal Neuroenteric cyst: case report.
GUSTAVO CARLOS E., ALFONSO BASURCO C.
Isolated spinal Rosai-Dorfman disease: Presentation of a recurrent case and review of literature
BRUNO A. FARIAS-VÍLCHEZ., JOSÉ FONSECA-BRICEÑO., JOSÉ NAVARRO-BARRETO.
Primary amoebic meningoencephalitis due to Naegleria fowleri: case report.
GABRIEL PONCE M., ALEJANDRA VASQUEZ B., IVAN ANDÍA R., GUINEZ MUÑUICO M., ASTRID CARRIÓN C., RUBÍ ALANYA Y.


